Skolioza – moja zgodba o sprejemanju telesa in razumevanju skolioze

To zgodbo sem posnela za 13 letno verzijo sebe, ki je že od samega štarta verjela, da mi bo uspelo. Za svoje starše, ki so prav tako od samega štarta verjeli v to, kar so drugi rekli, da je nemogoče.

To zgodbo sem posnela za vse starše, ki se spopadajo z diagnozo skolioze pri svojih otrocih ter za vse vas najstnike in odrasle, ki ste se odločili, da boste svojo skoliozo razumeli drugače.

Za vse, ki raje poslušate kot berete, sem zgodbo posnela – najdete jo na spodnji povezavi. Verjamem, da sem marsikaj izpustila, zato sem zgodbo prav tako zapisala, za tiste, ki bolj uživate v branju.

Povezava, do posnetka

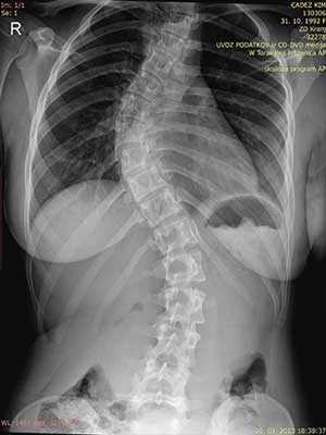
Pojdimo nazaj v leto 2004. 20 let nazaj, ko so mi, kot večini na sistematskem pregledu ugotovili začetek skolioze. Sledil je obisk pri ortopedu, slikanje in potrditev diagnoze začetka skolioze.
V tistem trenutku ni bila ta diagnoza nič posebenga, skolioza je bila še v začetku saj je merila 28°v prsnem delu in 15° ledvenem delu (Ko danes berem te stopinje… skolioza je že konkretno napredovala in pametno bi bilo takoj predpisati vaje in steznik). Takrat so nam naročili, naj se vrnemo čez pol leta. Da bodo opazovali.

Moja hrbtenica leta 2004

Nismo ji/mi posvečali prevelike pozornosti, ker tudi ortopedi niso pokazali skrbi. In tako je minilo pol leta, ko sem zopet slikala svojo hrbtenico.
Skoliza se je poslabšala na 38° v prsnem delu in na 19°v ledvenem. Rahla panika, da če bo šlo na slabše bo potrebna operacija…

Kaj?
Iz nič skrbi v paniko v roku pol leta, je bil kar šok, tako zame, kot za starša in začeli smo raziskovati – bolj podrobneje, moja mami je začela raziskovati.
Vmes sem dobila napotnico za vaje na fizioterapiji, ki sem jih obiskala po spominu le enkrat in nikoli delala, je pa mama našla ogromno alternativcev, ki sem jih obiskovala v naslednjih letih.

Tu sem se prvič srečala s svetom alternativne medicine. Obiskala sem ogromno ljudi, od kiropraktikov, maserjev,… Prevozili sva celo Slovenijo, v upanju, da moja skolioza ne bi napredovala.

Iskren odziv na tiste čase… Moje telo je bilo v takem razsulu, šlo je čez ogromno bolečih terapij, nikoli pa ga nisem zares začutila. Nikoli nisem zares razumela, kaj kdo od terapevtev dela. Sem se pa počutila vedno domače, skoraj pri vseh. Kot da bi že takrat čutila, da bom nekoč, v prihodnosti tudi jaz delala to kar delajo oni.
Sploh tisti terapevti, ki so bili globoko v drugačnih pogledih telesa, v sobah zakajenih od palčk palo santota in glasbe, ki te je peljala nazaj v čas…

Vmes sem opravila tudi hojo po žerjavici – celotna pot me je vodila do ljudi, ki so na nek način delali to, kar delam danes jaz. Šli izven mej, izven postavljenih okvirjev, kaj je mogoče in kaj ne.

V tem času sva se z mami odpeljali tudi v Italijo, kjer sem prvič podoživela lastni porod. Tu sem prvič pomislila, kot tudi terapevtska, da je razlog za mojo skoliozo v porodu.
V Italiji je moja hrbtenica doživela ravnino, ki smo jo iskali. A le za kratek čas, saj nisem upoštevala navodil….
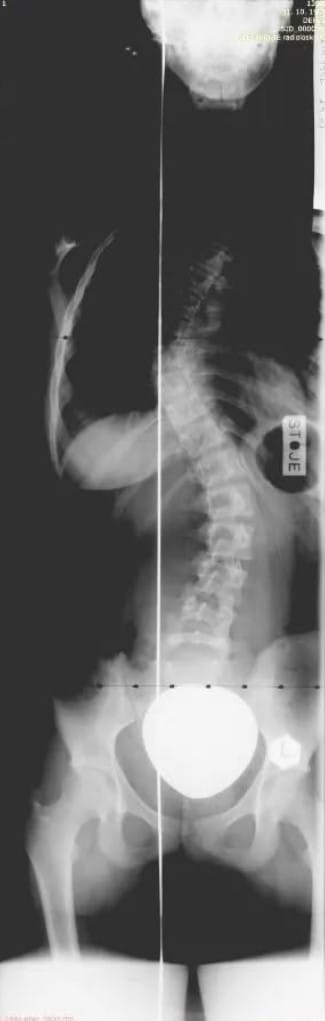
Okoli vseh teh dogodkov smo tretjič slikali hrbtenico.

Moja hrbtenica leta 2007

Katastrofalen izid. 56° v prsnem košu in 45° v ledvenem. Jezni pogledi ortopedov in sester, da če smo pametni, bom šla na operacijo in naj se nehamo hecati…
Šok. Zakaj so mi vsi terapevti govorili, da je ok, da je skolioza čisto majhna, slika pa je bila katastrofalna. Ogromno jeze sem imela takrat v sebi, sploh, ker nihče ni ničesar ukrenil, nobenih odgovorov nisem dobila zakaj eni pravijo tako in drugi tako… In takrat sem nehala delati. Nehala obiskovati terapije, nehala telovaditi, ker sem imela vsega dovolj.
Nismo se odločili za operacijo (to v videu popolnoma pozabim omeniti) in na skoliozo skorajda pozabili.

Vmes sem še 2x slikala skoliozo in rezultati so bili enaki letu 2007.

Dokler nisem bila pred odločitvijo, kateri faks bom obiskovala in po “naključju” našla Aplikativno Kineziologijo. Oooo, kako sem uživala v teh letih faksa, v raziskovanju človeškega telesa, v razumevanju delovanja telesa.
To je bil faks, ki je bil usojen zame. Tu sem začela prvič razumevati, kako deluje telo, začela sem povezovati nastanek skolioze, ga razumeti in pa tudi povečevati jezo, do uradne medicine, ker ne naredi dovolj. Ker je tako omejena pri skoliozi.

Razsvetljenja, kako mišice vplivajo na skoliozo, kako vse skupaj deluje, je v meni prižgalo tak ogenj, da sem se odločila, da stroki dokažem, da je skolioza rešljiva. In sem začela delati. Več kot 10 let sem telovadila, telovadila, telovadila, krepila mišice, vmes opravila ogromno tečajev in izobraževanj, med vsemi tudi najbolj priznani Schrot certifikat, za reševanje skolioz in prišla kar daleč. Delala z najstniki, ki so imeli odlične rezultate, a ko so/smo nehali telovaditi je skolioza ali obstala ali pa se slabšala – sploh pri tistih, ki niso bili še izven kriznih časovnic (o tem več v videu).

Vedela sem, da nekaj manjka, Da obstaja še nekaj več. In ko sem se po dveh porodih, ki sta potekala normalno, kot tudi nosečnosti odločila, da dokončno rešim svojo skoliozo, sem našla svet, ki sem ga iskala. Ki me je skoraj da ne klical. Čutila sem ga v telesu že toliko let prej.
Našla sem ga.
Svet energij, svet fascij, sve travm, svet odzivov. Občutek je bil, da sem prišla domov. In kar naenkrat sem razumela, kaj so delali vsi terapevti in kako jaz še nisem bila pripravljena.

O odzivih, travmah,… lahko izveste več v tem predavanju.

Vse se mi je sestavilo in po letih iskanja odgovorov sem začela prevzemati odgovornost.
Odgovornost za svoje telo, za svoje odzive, za svoje življenje. Se začela povezovati s svojo skoliozo, s svojim telesom, ugotavljati, kaj vse mi sporoča.
Iti skozi obdobja totalne žrtve v obdobje opolnomočenja. Da sem jaz tista, ki je skoliozo ustvarila in jaz sem tista, ki jo bo spustila.

Ko se enkrat zaveš tega, dobiš hkrati tak strah in tak občutek moči.

Ker najtežji korak je bil, da skoliozo spustim.
Veste… skolioza in vse ostale stvari (bolezni, bolečine, težave…) se v telesu ustvarijo kot obrambni mehanizem telesa, da nas pred nečim obvaruje. In te odzivi, te obrambni mehanizmi ostanejo v telesu, dokler jih nismo pripravljeni dokončno sprocesirati in spustiti (vse to podrobno opisujem v predavanju, katerega povezava je zgoraj). In misel, da spustim skoliozo je v meni ustvarila tak strah in občutek nepoznanega. Kaj bom, ko ne bom imela več skolioze? Kdo bom? Kaj bom delala, če moje celotno življenje temelji na skoliozi? Vse verzije Kim so se oklepale te skolioze, ker jim je bilo to poznano. Ker so v tej verziji točno vedele, kako deluje življenje, kako se bo kdo odzval, kako se bomo ob določenih ljudje počutile in če bi skoliozo izpustile se vse to poruši in vstopimo v popolnoma nov svet. V popolnoma novo verzijo sebe.

Letos, leta 2024 sem se odločila, da to zgodbo zaključim.

Dan, trenutek, ko sem se odločila, da zaključujem svojo zgodbo s skoliozo

Milijon posnetkov, milijon slik sledenja napredku do tega trenutka. Do novembra 2024. Mi smo lastniki/vladarji svojega telesa in mi ga upravljamo. Vsako težavo s katero se soočamo, kljub temu, da smo naučeni drugače, kontroliramo sami.
To vas učim preko terapije zgodb telesa – tu vas opolnomočim, da ste sami svoj zdravnik.

Naša telesa so čudovita. So izjemna. Učijo nas mnogo stvari, predvsem sledenja sebi.
Na tem mestu si želim le še rentgensko sliko, to je tista zaključna, zaključna faza 🙂

Vam staršem pa polagam na srce – vaši otroci so izjemni, s skoliozo ali brez – tu vas povabim na ogled videa, kjer vas popeljem preko zgodb telesa v občutenje sebe, saj so otroci le naše zrcalo in njihova skolioza je naša stiska, ki jo oni procesirajo na tak ali drugačen način. Lahko imate tudi vi skoliozo ali pa imate druge težave. Nič ni dedno, so le vzorci, ki se vlečejo iz generacije v generacijo, dokler ni nekdo tako radoveden, da odpre še druga vrata in najde odgovore.

V tem trenutku, delam z najstniki na zelo drugačen način, kot sem delala na začetku. Učim jih predvsem zavedanaj svojega telesa, ker telesa ne moremo spraviti v ravnovesje če ga ne čutimo. K delu povabim tudi vas starše, saj se preko svojih otrok ogromno lahko naučite predvsem v sebi.
Nikoli ni nobena skolioza ali druga težava tako velika, da se je ne bi dalo rešiti, le duga vrata moramo odpreti 🙂

Tu vas lepo povabim v branje preostalih delov spletne strani, kjer boste našli podrobnejše opise o Zgodbah telesa, Somatiki, Fascijah, drugih delih moje skolioze,…
In pa vabim vas na del Platforme telesa, ki sem ga namenila Skoliozi. Delu o katerem sem sanjala zadnjih par let, ki vam omogoča, da spoznavate sebe, svoje telo in sproščate skoliozo online. Vse o Platformu najdete na spodnji povezavi.

Deli objavo
Tvoja košarica

V košarici ni izdelkov.